1.定義
犬の口腔鼻腔瘻とは、口腔内と鼻腔との間に異常な交通が形成された状態を指します。主に上顎歯槽部から口蓋にかけて発生し、慢性的な炎症や感染を伴うことが多く、臨床上重要な病態です。
2.発生原因
症例実績において、以下の原因が多く認められます。
- 重度歯周病
特に上顎第4前臼歯や犬歯周囲で歯槽骨吸収が進行し、鼻腔底が破綻することで発生します。 - 抜歯後合併症
フラップ形成不十分や閉鎖不全により発生することがあります。 - 外傷
咬傷、交通事故、高所落下などが原因となる場合があります。 - 腫瘍性病変
口腔内腫瘍の進行により、二次的に口腔鼻腔瘻を形成することがあります。 - 医原性要因
歯科処置時の過剰な掘削や操作により生じる場合があります。
高齢犬および小型犬での発生頻度が高い傾向が認められます。
3.臨床症状
臨床症状として、以下が多く認められます。
- 片側性の鼻汁(膿性または血性)
- くしゃみ、逆くしゃみ
- 飲水時に鼻孔から液体が漏出する症状
- 口臭の悪化
- 慢性的な鼻炎症状
無症状で経過し、歯科処置時に偶発的に発見される症例も存在します。
4.診断
診断は、複数の検査を組み合わせて行うことが推奨されます。
- 口腔内視診および探針による瘻孔確認
- 歯科X線検査による歯槽骨吸収の評価
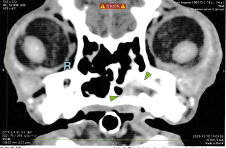
- CT検査
瘻孔の位置および大きさの把握、鼻腔内病変や腫瘍性疾患の除外に有用です。 - 生理食塩水注入試験
鼻孔からの漏出を確認することで診断補助となります。
5.治療
治療は外科的閉鎖が原則となります。保存療法のみで自然閉鎖が得られる可能性は極めて低いとされています。
歯肉粘膜をフラップして閉創します。
手術成功率を高めるためには、感染組織の十分なデブリードマン、瘻孔縁の新鮮化、無緊張かつ水密性の高い閉鎖が重要です。
6.術後管理
術後管理は治療成績に大きく影響します。
- 2〜3週間の軟食管理
- エリザベスカラーの装着
- 抗菌薬の投与(7〜14日間)
- 必要に応じたくしゃみや過度な運動の制限
7.予後および再発
適切な外科的閉鎖が行われた場合、予後は概ね良好です。
小規模な瘻孔では再発率は低い一方、大規模瘻孔や感染を伴う症例では再発リスクが高まります。
再発要因としては、歯周病の残存、フラップへの過度な緊張、術後早期の硬食摂取や外力などが挙げられます。
8.結語
犬の口腔鼻腔瘻は重度歯周病を背景として発生することが多く、外科的閉鎖が治療の基本となります。
今回の症例は、くしゃみを主訴に来院されました。歯周病以外の疾患の除外と、歯周病箇所の場所の特定のため、CT検査を行いました。


左の上顎第1〜3前臼歯が鼻腔とつながっていることがわかったため、歯科処置にて、抜歯とフラップ形成を行いました。

