2025.11.27
犬の股関節形成不全|原因・症状・検査と治療法を獣医師が徹底解説

犬の**股関節形成不全(Canine Hip Dysplasia:CHD)**は、大型犬を中心に発生する代表的な運動器疾患で、股関節がうまくかみ合わず、関節のゆるみ(関節弛緩)を起こし、それが痛み・跛行・歩行異常の原因となる病気です。進行すると軟骨がすり減り、変形性関節症へ移行します。
この病気は「遺伝要因+環境要因」が複雑に関与する多因子疾患であり、子犬期の早期評価と適切な介入が、成犬になったときの健康状態を大きく左右します。
▼参考:American College of Veterinary Surgeons(ACVS)
https://www.acvs.org/small-animal/canine-hip-dysplasia
■ 股関節形成不全とは
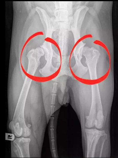
股関節は、大腿骨頭(ボール)と寛骨臼(受け皿)がうまく噛み合うことでスムーズに動きます。しかし、成長段階で関節の適合性が悪いと、骨頭が関節内で安定せず「ぐらつき」が生じます。この“ぐらつき(関節弛緩)”が股関節形成不全の核心であり、炎症・疼痛・骨増殖・軟骨摩耗につながります。
特に発症しやすい犬種
- ラブラドール・レトリーバー
- ゴールデン・レトリーバー
- ジャーマン・シェパード
- バーニーズ・マウンテンドッグ
- ロットワイラー
- セントバーナード
しかし近年は中型犬、さらにはフレンチブルドッグなど短頭種でも診断されるケースが増えています。
▼参考:Orthopedic Foundation for Animals(OFA)
https://ofa.org/diseases/hip-dysplasia/
■ 発症の原因:遺伝 × 環境の多因子性
股関節形成不全は、単一の要因では発症しません。最新の研究では以下の要素が発症に深く関わるとされています。
● 遺伝的素因
OFA(Orthopedic Foundation for Animals)でも示されている通り、この病気は強い遺伝性を持っています。親犬・兄弟犬に股関節形成不全があれば、子犬が発症する可能性は明らかに高くなります。
繁殖犬の股関節評価を行い、健全な個体同士を繁殖に用いる「遺伝的スクリーニング」は世界的に重要視されています。
▼繁殖指針:
https://ofa.org/breeding-resources/
● 急激な成長(特に大型犬)
大型犬の成長は早く、筋肉量・体重の増加スピードに骨格が追いつかないことで、関節に負担がかかりやすくなります。
● 高カロリー食・肥満
体重増加は股関節に直接的な負荷を与え、症状を悪化させる主要因です。
● 生活環境
- 滑りやすいフローリング
- 反復するジャンプ運動
- 過度な階段昇降
これらは関節へのストレスを増加させます。
● 去勢・避妊のタイミング
近年、大型犬において「早期の去勢・避妊が関節疾患リスクを高める可能性」が指摘されています。ただし副作用や腫瘍予防の観点もあるため、個体ごとに獣医師と相談することが推奨されます。
■ 飼い主が気づきやすい症状
股関節形成不全の症状は成長段階・個体差により異なりますが、以下のような兆候が現れます。
- 立ち上がりにくい
- 歩くときに腰が左右に揺れる(スウェイ・ゲイト)
- 運動後に跛行が強くなる
- うさぎ跳びのように後肢を揃えて走る
- ジャンプや階段を嫌がる
- 後肢の筋肉が落ちてくる
若い時期は痛みを隠しやすく、症状が軽い場合は「なんとなく歩き方が変」にしか見えないこともあります。
■ 診断:従来のレントゲン+最新のPennHIP評価
股関節形成不全の診断には、レントゲン(X線)検査が基本となります。しかし、成長期の犬では股関節の適合性が不安定なため、従来法では早期診断が難しいケースがあります。
そのため近年注目されているのが PennHIP(ペンヒップ) です。
■ PennHIP(ペンヒップ)検査とは(当院では行っていません)
米国ミシガン大学が開発した評価法で、股関節の「ゆるみ」を数値化できるのが最大の特徴です。
- 生後16週齢から検査可能
- 専用ディストラクターで股関節を意図的に緩ませる
- **Distraction Index(DI)**という数値で関節弛緩を評価
- DI=0(ゆるみなし)〜1(最大のゆるみ)
- DIが高いほど将来の変形性関節症リスクが高い
子犬期に将来の関節リスクを判定し、繁殖選抜にも使用される世界基準の検査です。
▼PennHIP公式(ミシガン大学)
https://antechimagingservices.com/pennhip
■ 保存療法:手術なしでできる治療
保存療法は多くの犬で有効であり、特に中等度以下の症例では日常生活の質(QOL)を大きく改善できます。
● ① 体重管理(最重要)
肥満は股関節にかかる負荷を大きくし、症状の悪化につながります。
BCS(ボディコンディションスコア)4〜5/9を維持することが推奨されています。
▼参考:WSAVA(世界小動物獣医師会)栄養ガイドライン
https://wsava.org/global-guidelines/global-nutrition-guidelines/
● ② 生活環境の調整
- フローリングには滑り止めマット
- 過度なジャンプを避ける
- 適度な散歩を毎日継続
- 水中トレッドミルやスイミングなどの非荷重運動
これらは筋力維持に効果的です。
● ③ 薬物療法
痛みや炎症に対して、以下の薬剤が状態に応じて使われます。
- NSAIDs(非ステロイド性抗炎症薬)
- ガバペンチン
- アマンタジン
- サプリメント(オメガ3脂肪酸、緑イ貝、グルコサミンなど)
複数の治療法を併用するマルチモーダル疼痛管理が近年の主流です。
■ 外科療法:重度・若齢・進行例に適応
外科治療は、保存療法でコントロールできない場合や、若齢犬で重度の関節弛緩がある場合に検討されます。
● ① JPS(恥骨結合固定術)
- 適応:生後4〜5ヶ月までの若齢犬
- 恥骨結合の成長板を意図的に閉鎖し、寛骨臼の角度を改善
- 早期の予防的手術として有効
● ② TPO(骨盤三点骨切り術)
- 適応:若齢犬で関節炎が軽度な場合
- 骨盤の3カ所を切り、寛骨臼を回転させて骨頭の被覆性を改善
- 将来の関節炎進行を抑える
● ③ THR(人工股関節置換術)
痛みの原因となる関節を人工関節に置換する根治的手術です。
- 大型犬でも高い成功率
- 強い跛行が改善し、活動性が戻る
- 術後管理は必要だがQOLは大幅に向上
▼参考:ACVS:Total Hip Replacement
https://www.acvs.org/small-animal/total-hip-replacement
● ④ FHO(大腿骨頭切除術)
- 大腿骨頭を切除し、痛みの原因を除く手術
- 小型犬で特に良好な結果
- 術後のリハビリが重要
■ 予防:子犬期からできること
成長期の環境が股関節形成不全の将来リスクを大きく左右します。
● 繁殖犬の適切なスクリーニング
OFA・PennHIP検査を取り入れ、健全な股関節の犬を繁殖に選ぶことが国際的な推奨です。
▼OFAブリーディングガイド
https://ofa.org/breeding-resources/
● 成長期の食事管理
大型犬用の成長期フードを使用し、栄養バランスを保つことが重要です。
● 運動環境
滑り止めを敷く、適度な運動、過度なジャンプを避けるなど、日常的な工夫で関節の負担を減らせます。
■ まとめ
犬の股関節形成不全は、遺伝と環境が複雑に関わる疾患であり、早期発見と適切な介入により多くの犬が快適に生活できます。
とくに成長期の犬では、体重管理・生活環境の調整・適切な運動が予後を大きく変えます。
また、PennHIPなどの最新検査を活用することで、より早い段階で診断が可能になり、最適な治療計画を立てることができます。